袖ケ浦市から根管治療でご来院|数十年前に根管治療をした歯がズキズキ痛い
袖ケ浦市から車で約25分の歯医者、陽光台ファミリー歯科クリニックです。
「できるだけ歯を残したい」「再治療を繰り返したくない」
そんなお悩みをお持ちの袖ケ浦市の皆さまへ。
陽光台ファミリー歯科クリニックではマイクロスコープやラバーダムを使用した精密な根管治療を行い、難症例でもできる限り歯を残すことを目指しています。
今回は、袖ケ浦市から根管治療で来院された50代女性の症例をご紹介します。
袖ケ浦市にある袖ケ浦ふれあいどうぶつ緑に行ってみたいな〜とずっと思っておりますが当院の休診日と同じ木曜日が休園日のようでいまだに行けておりません😭日本テレビの番組「みんなのどうぶつ園」で袖ケ浦ふれあいどうぶつ縁が作られていく様子が放送されていて毎回楽しみに観ていました。いろいろな動物がいる大きな動物園ももちろん好きですが、動物たちと触れ合える動物園が個人的には大好きなので近いうちに行きたいです!
症例紹介
そんな魅力あふれる袖ケ浦ふれあいどうぶつ縁がある袖ケ浦市から来院された女性は、数十年前に根っこの治療をした歯が数ヶ月前から痛みや腫れが出てきたそうです。袖ケ浦市にあるかかりつけの歯科医院で診てもらったところ、抜歯と言われてしまい、できる限り自分の歯を残したいという想いから袖ケ浦市から当院へ来院くださいました。
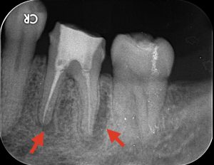
治療前

レントゲンを撮ってみると、赤い矢印部分に黒い影ができているのがお分かりいただけると思います。これは歯の根っこの先に膿が溜まっておりそれによって歯を支えている顎の骨が溶かされている状態です。根管治療は根っこの中の細菌を限りなくゼロに近づけることが大切になりますが、以前の治療で細菌や感染を取りきれなかったことにより膿が溜まってしまっています。
これは決して珍しいことではなく、一般的に行われている保険診療の根管治療では半分以上が治療失敗というデータがあり、多くの歯でこのような状況が起こっているのです。

保険診療では、使用できる材料や治療器具、治療時間などに制限があります。そのため、治療をしても治らないというのが現状です。
袖ケ浦市から来院の患者さんには現状、そして当院で行っている自費診療の根管治療についてしっかりと説明し再根管治療を行うこととなりました。
治療中

袖ケ浦市の患者さんの歯の根っこは一般的な数よりも多く、その根っこが治療されていなかったために膿が溜まり痛みや腫れを引き起こしていました。レントゲンでは大きく見えますが、歯の根っこは髪の毛1本ほどの細さしかありません。それを肉眼で見つけしっかりと根っこの中の細菌や汚れを綺麗にすることはほぼ不可能です。当院では、20倍以上に拡大できるマイクロスコープ(歯科用顕微鏡)を使用し、根っこの先まで確認しながら根管治療を行っています。
▼治療中の視野

治療器具を歯の根っこに入れて根っこの先まで治療できているか確認したのが上のレントゲンです。しっかりとそれぞれの根っこの先まで器具が到達しているのが確認できます。
治療後(根管充填後)

様々な治療器具や消毒薬を使い根っこの中を徹底的に洗浄をします。その後、根っこの中につめる根管充填材を詰め終わった後のレントゲンです。それぞれの根っこの先までしっかりお薬が入っています。当院では、体と相性がよく殺菌効果の高いバイオセラミックを使用しています(保険診療では使用できません)。バイオセラミックについて詳しくはこちら
治療の詳細
治療内容:感染根管治療(再根管治療)
治療回数:2回(治療時間約90分/1回)
費用:15万円(税別)
リスクや注意事項
治療後、袖ケ浦市の患者さんは痛みや腫れがなくなったと安心されていました。現在は仮歯を入れて経過観察中です。
根管治療は歯を残す最後の砦の治療ですが、歯科治療の中で難しい治療でもあります。ご自身の歯を守るために精度の高い根管治療を受けることをおすすめします。根管治療の歯医者の選び方について詳しくはこちらをご覧ください。
袖ケ浦市のお隣、木更津市の歯医者、陽光台ファミリー歯科クリニックでは、マイクロスコープや治療中の感染を防ぐラバーダムを使用した世界基準の根管治療を行っています。根管治療でお悩みの方、他院で抜歯と言われてしまった方は一度当院へご相談ください。LINEまたははお電話(0438-38-4854)からご予約ができます。

袖ケ浦市内からのアクセス(お車)
●袖ケ浦市内より国道16号を君津方面へ進む
→内房なぎさライン/国道127号を君津方面へ進む
→ステーキガスト木更津南インター店近くの信号(波岡交差点)を右
→2つ目の信号を左
→4つ目の信号(ガソリンスタンド出光が見えたら次の信号)を右
青い歯の看板が目印です
