【茂原市からご来院】虫歯が大きく抜歯かも…根管治療で歯を残します
千葉で歯の根の治療、根管治療なら陽光台ファミリー歯科クリニックへお任せください。
今回のブログは茂原市から根管治療で来院された女性の症例をご紹介します。茂原市は、全国屈指の天然ガス生産量を誇る市で有名ですね。また、春になれば茂原市高師にある茂原公園の桜が話題になります。2000本以上の桜が茂原公園内を彩り、さくら名所100選の地にも選ばれていて赤い橋と桜で日本の和を感じられますね🌸夜はライトアップもしていてすごく綺麗です!

また、桜と同じくらいの時期に茂原市山崎の茂原牡丹園では大きな花の牡丹が見頃となります。茂原牡丹園の母屋は享保年間(1730年)、長屋門は天保8年(1837)の建物で国の登録有形文化財に指定されています。歴史のある母屋と大きな牡丹、写真におさめたいです!

そして、桜や牡丹の時期が終わると、茂原市三ケ谷にあるあじさい屋敷の一万株以上の紫陽花が花を咲かせます。県外からも紫陽花を見に茂原市へ多くの方が訪れるそうです。辺り一面に広がった紫陽花はきっと圧巻ですよね…紫陽花も大好きなお花なのでカメラを持っていきたいです📸

そんなお花が魅力的な茂原市から来院くださった患者さんは、虫歯が神経まで感染してしまい根管治療が必要となりしっかりと治療を受けたいという想いから当院へご来院くださいました。保険診療で行う一般的な根管治療の成功率は実は50%以下で、根管治療をした歯の半分以上が再治療または抜歯となってしまうのが現状です。

保険診療では使用できる治療器具や材料に制限があることや根管治療は歯科治療の中でも難易度が高く歯科医師の技術力が必要となることから成功率が低いのです。当院では、この成功率の観点から自費診療にて歯を残すための根管治療を行っています。茂原市の患者さんに、お時間をいただき保険診療と自費診療の根管治療の違いをしっかりとご説明し、自費診療にて根管治療を行いました。
治療前

赤い矢印部分、黒くなっているところが虫歯です。虫歯が神経まで感染していたため、神経を取る処置「抜髄」を行いました。当院では根管治療を行う際には必ずマイクロスコープとラバーダムを使用します。マイクロスコープ・ラバーダムを使用した精密根管治療について詳しくはこちらをご覧ください。
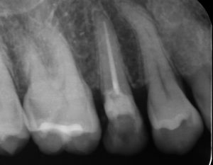
治療中

根管治療は歯の上から見ながら治療を行いますが、神経の管は髪の毛ほどの細さしかありません。保険診療の根管治療では肉眼で細い根管を治療しますが、管の先を見ながら治療することはほぼ不可能です。そのため、神経や感染の取り残しがあることで治療をしても痛みや腫れがなくならない、数年後に痛みが出る原因となります。当院ではマイクロスコープを使用し、管の先をしっかりと確認しながら治療を行います。また、治療中にレントゲン撮影を行い、根っこの先まで治療器具が到達しているか確認します。
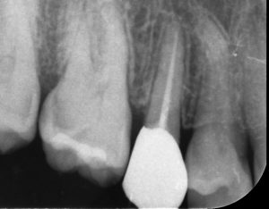
根管充填後

様々な器具や薬液を使用し、根管内を徹底的に洗浄します。この洗浄の工程が根管治療の成功に大きく影響します。洗浄後、根っこの中にお薬を詰めた後(根管充填)のレントゲンです。根っこの先までお薬が入っているのがわかります。当院では、根管充填材に体と相性が良く、殺菌効果の高いバイオセラミックを使用しています(保険診療では使用できません)。根管充填後、仮歯を入れて数ヶ月間経過観察をすします。レントゲンや患者さんの症状などから治癒が確認できてから最終的な被せ物を入れることで「被せ物を入れてから痛みが出た」という最悪の状態を防ぐことができます。
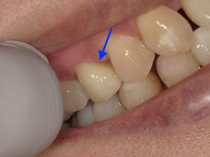
被せ物の装着
茂原市の患者さんは根管治療後、矯正治療を行いました。根管治療から2年半後、矯正治療が終わりましたので最終的な被せ物を装着しました。


ジルコニアクラウン(自費診療)です。強度がある、汚れがつきにくい、見た目が自然というのがジルコニアの特徴です。茂原市の患者さんも歯を残すことができ大変喜んでいらっしゃいました。現在も定期検診のため茂原市から数ヶ月に一度来院くださっています。
治療の詳細
治療内容:抜髄(初回根管治療)
治療回数:1回
費用:15万円(税別)
治療によるリスクや注意事項:
再治療のため歯が薄くなっており、治療中の歯で硬いものを食べると歯が割れるリスクがあります。治療中に根の先を触ることで痛みが数日続くことがあったり、根の先の膿の袋が再発する可能性もあります。根管治療で治癒しなかった場合、外科的歯内療法や抜歯に至ることがあります。
当院は茂原市から根管治療を受けに多くの患者さんが来院くださっています。質の高い治療を受けたい、抜歯と言われてしまったけれど自分の歯を残したい、根管治療をしたけれど痛みや腫れがなくならないといったお悩みをお持ちの方は一度当院へご相談ください。自費診療の根管治療では、1〜3回の少ない回数で治療を終えることができます。LINEまたははお電話(0438-38-4854)からご予約ができます。

茂原市から当院へのアクセス
茂原市から房総横断道路/国道409号
→高速道路に入り東京湾アクアライン/木更津 方面に進む
→木更津南ICで下りる
→ステーキガスト木更津南インター店近くの信号(波岡交差点)を右
→2つ目の信号を左
→4つ目の信号(ガソリンスタンド出光が見えたら次の信号)を右
青い歯の看板が目印です
